Accueil
Congrès
Angers 2025
St Malo 2025
Nantes 2024
St Malo 2024
Rennes 2023
La Baule 2023
Angers 2022
La Rochelle 2022
St Brieuc 2021
Cholet 2021
Quimper 2020
Cholet 2020 (annulé)
Rennes 2019
Pontivy 2018
Les Herbiers 2017
Brest 2013
Tours 2016
Recherche
Par ville
Par pathologie
Publications
partenaires institutionnels
Appel collaboration recherche
jeunes chercheurs
patients experts
recherche UE
Soins
Site médical RIC
ETP
Aide à la prescription
Recommandations par pathologie
Agenda
Réunion de concertation et demande d’avis
Agenda des congrès et conférences
Enseignements
COFER
banques d'images
Documents officiels de la réforme/FST
Formation médicale continue
contrat de formation UBO/BREST
Echographie
MOOC stat R
AAP-emploi
AAP / bourses
offre successeur/emploi
appel à communication
Chargement...
Image
Echographie
Aponévrosite plantaire gauche symptomatique confirmée par l'échographie
Arthrite acromio-claviculaire gauche en échographie, dans le cadre d'une infection à pyogène
Aspect échographique d'une ostéonecrose aseptique de la tête fémoral avec épanchement associé, chez une jeune fille, dans un contexte de corticothérapie dans le cadre d'une hémopathie
Atteinte rachidienne cervicale évoluée dans le cadre d'une spondyloarthrite axiale radiographique
Epanchement intra-articulaire du genou, visible en échographie, dans le cadre d'une arthrite
Spondylodiscite multifocale du rachis cervical et du rachis dorsal
Sténose de l'artère axilaire gauche dans le cadre d'une artérite à cellules géantes
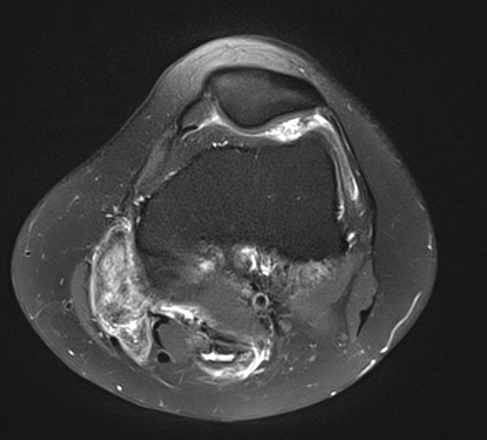
Syndrome du carrefour postérieur de la cheville sur os trigone accessoire à l'IRM
Synovite du coude dans le cadre d'une polyarthrite rhumatoïde évoluée
Synovite villo-nodulaire du genou
Synovite villo-nodulaire du genou 2
Volumineux kyste poplité symptomatique visualisé en échographie
Connectez-vous
Se souvenir de moi
S'identifier
Mot de passe perdu
S'enregistrer
Accueil
Congrès
Angers 2025
St Malo 2025
Nantes 2024
St Malo 2024
Rennes 2023
La Baule 2023
Angers 2022
La Rochelle 2022
St Brieuc 2021
Cholet 2021
Quimper 2020
Cholet 2020 (annulé)
Rennes 2019
Pontivy 2018
Les Herbiers 2017
Brest 2013
Tours 2016
Recherche
Par ville
Par pathologie
Publications
partenaires institutionnels
Appel collaboration recherche
jeunes chercheurs
patients experts
recherche UE
Soins
Site médical RIC
ETP
Aide à la prescription
Recommandations par pathologie
Agenda
Réunion de concertation et demande d’avis
Agenda des congrès et conférences
Enseignements
COFER
banques d'images
Documents officiels de la réforme/FST
Formation médicale continue
contrat de formation UBO/BREST
Echographie
MOOC stat R
AAP-emploi
AAP / bourses
offre successeur/emploi
appel à communication